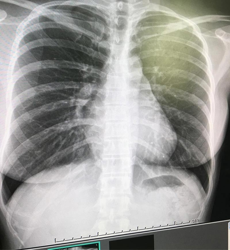
หนูเล็ก ก่อนบ่าย เผยภาพเอกซเรย์ ปอดแหว่ง หลังจากที่ไวรัสลงปอด แต่ไม่ยอมกินยา คิดแต่ว่าจะหายได้ด้วยตัวเอง
ใครที่เป็นโรค ไม่ว่าจะอะไรก็แล้วแต่ ต้องรู้จักกินยาและปฏิบัติตามคำแนะนำของแพทย์อย่างเคร่งครัด แต่กระนั้น บางคนเองไม่ยอมกินยาให้ครบ หรือเพราะกลัวเข็มฉีดยา บวกกับคิดว่าจะหายเอง จึงทำให้โรคที่มีอยู่ไม่ยอมหาย และส่งผลร้ายมากกว่าที่เคยเป็นมา
อย่างล่าสุด (25 เมษายน 2561) หนูเล็ก ก่อนบ่าย ก็ได้เผยถึงอุทาหรณ์สอนใจ เมื่อเจ้าตัวป่วยเป็นโรค โดยมีอาการไอหนักมาก และเมื่อไอก็จะเจ็บหน้าอก แต่ด้วยความฝังใจตั้งแต่เด็กว่าไม่ชอบกินยาเม็ดใหญ่ ๆ เลยไม่ยอมกินยา บวกกับคิดไปเองว่าเดี๋ยวโรคก็จะหายเอง แต่สุดท้ายแล้ว เมื่อไปเอกซเรย์ปอดกลับพบว่า ปอดของเธอนั้นแหว่งหายไป เพราะปล่อยให้ภูมิคุ้มกันสู้กับไวรัสโดยลำพัง

ทั้งนี้ หนูเล็กเองยังยืนยันว่า ตอนนี้ตนเองยังทำงานได้ แต่ต้องกินยาฆ่าเชื้อ และฝากถึงทุกคนด้วยว่า อย่าเข้าใจผิดคิดว่าโรคจะหายไปเองได้ เพราะอย่างตน หมอเองยังชมเลยว่า ไวรัสลงลึกขนาดนี้ แต่ยังทำงานได้ทุกวัน




ภาพจาก Instagram nulek_gaga





