หนูเล็ก ก่อนบ่าย ขอแก้ข่าว หลังภาพปอดแหว่ง แค่เข้าใจผิด ไม่ได้ป่วยร้ายแรงอะไร เผยดูสวยขึ้นเพราะแต่งหน้า ไม่เคยพึ่งมีดหมอ
![หนูเล็ก ก่อนบ่าย หนูเล็ก ก่อนบ่าย]()
![หนูเล็ก ก่อนบ่าย หนูเล็ก ก่อนบ่าย]()
ทำเอาแฟนคลับเป็นห่วงหนักมาก หลังสาวอารมณ์ดี หนูเล็ก ภัทรวดี หรือ หนูเล็ก
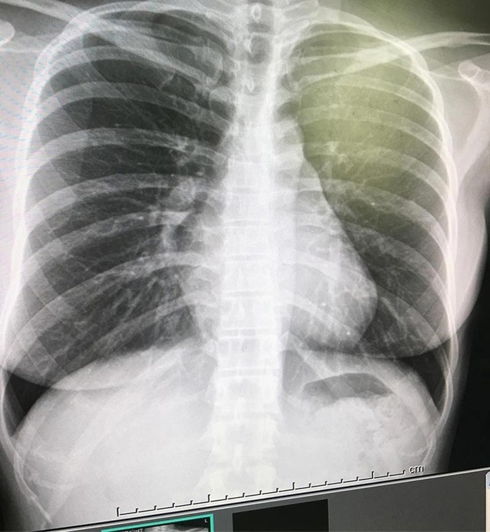
ก่อนบ่าย ได้โพสต์ภาพเอกซเรย์ปอดแหว่ง โดยระบุว่าสาเหตุเกิดจากไวรัสลงปอด
แต่ไม่ยอมกินยา ทำให้ภูมิคุ้มกันต้องต่อสู้กับไวรัสเอง ล่าสุด (7 พฤษภาคม
2561) หนูเล็ก ได้มาเปิดใจในรายการ คุยแซ่บShow ทางช่อง one31 ที่มี หนิง
ปณิตา และเบนซ์ พรชิตา เป็นพิธีกร
เรื่องสุขภาพที่ป่วยเป็นปอดแหว่ง ?
หนูเล็ก : เรื่องนี้จะมาขอโทษพ่อแม่พี่น้องค่ะ คือเรื่องของเรื่อง หนูไม่ชอบกินยาเลย เวลาเราไม่สบายเราจะไม่ชอบกินยาเลย แล้วรู้สึกว่าภูมิคุ้มกันเราดี พอเราไม่สบาย เราก็ไปเอกซเรย์ หมอก็บอกว่า ที่มันหายไปนั่นแหละคือปอดติดเชื้อ เราก็ตกใจ แล้วหมอเค้ารีบก็พูดไม่ค่อยเยอะ หนูเลยเข้าใจเองว่าที่หมอชี้คือปอด ปรากฏว่าเป็นหัวใจค่ะที่หมอชี้ แล้วคือปอดมันอยู่ข้างหัวใจ มันจะเป็นรอยสีขาว ๆ ซึ่งนั่นคือติดเชื้อ ซึ่งหนูต้องกราบขอโทษด้วยค่ะที่ทำให้เข้าใจผิด ที่อยากเตือนคือ เวลาไม่สบายอย่าคิดว่าภูมิคุ้มกันของตัวเองดี ต้องไปหาหมอกินยานะคะ สรุปหนูเป็นปอดติดเชื้อค่ะ ต้องกินยาต่อเนื่องหลาย ๆ เดือนค่ะ
คนมองสวยขึ้น พึ่งมีดหมอมาหรือเปล่า ?
หนูเล็ก : ไม่ได้ทำอะไรเลยค่ะ เหมือนมีช่วงหนึ่งเราเริ่มดูดีขึ้นเพราะว่าเมื่อก่อนเราไปงานอีเว้นท์ ไม่มีใครมาแต่งให้ เราแต่งเอง แต่พอเราจ้างช่างมาแต่ง ก็เลยดูเปลี่ยนไปค่ะ ไม่เคยไปทำอะไรเลย ไม่เคยไปเลเซอร์กับหน้าเลยค่ะ
แต่พอเราโตขึ้น คนก็ว่าเรามีลุคราคาถูก ?
หนูเล็ก : คนชอบว่าหนูแบบว่าดูถูก เพราะว่าเสื้อผ้า รองเท้าเราไม่ได้ใส่ของแพง เพราะเราเป็นคนที่ใส่เสื้อผ้าแล้วมันสกปรกเร็ว ก็เลยไม่ใส่ของแพง ใส่ของธรรมดา 1,000-2,000 คนก็มาเห็น มามองหัวจรดเท้า เป็นคนในวงการนี่แหละค่ะ แต่ไม่ใช่ดารานะคะ แต่ก็ไม่เสียใจค่ะ ถ้าเป็นตัวหนูเล็กเองแบบบ้าน ๆ นะคะ หนูเข้าไปต่อยปากค่ะ
ชีวิตหลังแต่งงานเป็นยังไงบ้าง เค้าบอกว่าจะเลิกกัน ?
หนูเล็ก : ไม่จริงค่ะ แค่เราทะเลาะกันบ่อยเท่านั้นเอง เรื่องเล็กน้อยหยุมหยิม อย่างเวลาไปทำงานหนูมีความสุขมากนะคะ แต่พอกลับมาเริ่มละ ยิ่งช่วงไหนหยุด 2 วัน หนูเบื่อมากเลย เพราะจะทะเลาะกันตลอด เค้าติดเรามากเกินไปค่ะ คือเวลาหนูไปทำงานเราจะไม่ค่อยได้เจอกันใช่มั้ย พอหนูกลับบ้านมา เค้าจะเดินตามตลอด ตามทุกที่ที่อยู่ในบ้าน เค้าบอกว่าไม่ค่อยได้เจอกันไง
แต่เค้าเข้ามาเปลี่ยนชีวิตเราไม่ใช่เหรอ ?
หนูเล็ก : ใช่ค่ะ เค้าเข้ามาเปลี่ยนแปลงชีวิตในทุกเรื่องเลยค่ะ อย่างเราอารมณ์ร้อน ขี้โมโห เค้าจะมาสอนมาเปลี่ยนแปลงเรา เหมือนเป็นพ่อกับแม่อีกคนเลยค่ะ
ติดตามรายการ คุยแซ่บShow ได้ทุกวันจันทร์-ศุกร์ เวลา 14.00-15.00 น. ทางช่อง one31 Facebook Page : คุยแซ่บShow รับชมย้อนหลังได้ที่ Youtube Channel : Orange Mama
.jpg)
.jpg)
เรื่องสุขภาพที่ป่วยเป็นปอดแหว่ง ?
หนูเล็ก : เรื่องนี้จะมาขอโทษพ่อแม่พี่น้องค่ะ คือเรื่องของเรื่อง หนูไม่ชอบกินยาเลย เวลาเราไม่สบายเราจะไม่ชอบกินยาเลย แล้วรู้สึกว่าภูมิคุ้มกันเราดี พอเราไม่สบาย เราก็ไปเอกซเรย์ หมอก็บอกว่า ที่มันหายไปนั่นแหละคือปอดติดเชื้อ เราก็ตกใจ แล้วหมอเค้ารีบก็พูดไม่ค่อยเยอะ หนูเลยเข้าใจเองว่าที่หมอชี้คือปอด ปรากฏว่าเป็นหัวใจค่ะที่หมอชี้ แล้วคือปอดมันอยู่ข้างหัวใจ มันจะเป็นรอยสีขาว ๆ ซึ่งนั่นคือติดเชื้อ ซึ่งหนูต้องกราบขอโทษด้วยค่ะที่ทำให้เข้าใจผิด ที่อยากเตือนคือ เวลาไม่สบายอย่าคิดว่าภูมิคุ้มกันของตัวเองดี ต้องไปหาหมอกินยานะคะ สรุปหนูเป็นปอดติดเชื้อค่ะ ต้องกินยาต่อเนื่องหลาย ๆ เดือนค่ะ
คนมองสวยขึ้น พึ่งมีดหมอมาหรือเปล่า ?
หนูเล็ก : ไม่ได้ทำอะไรเลยค่ะ เหมือนมีช่วงหนึ่งเราเริ่มดูดีขึ้นเพราะว่าเมื่อก่อนเราไปงานอีเว้นท์ ไม่มีใครมาแต่งให้ เราแต่งเอง แต่พอเราจ้างช่างมาแต่ง ก็เลยดูเปลี่ยนไปค่ะ ไม่เคยไปทำอะไรเลย ไม่เคยไปเลเซอร์กับหน้าเลยค่ะ
แต่พอเราโตขึ้น คนก็ว่าเรามีลุคราคาถูก ?
หนูเล็ก : คนชอบว่าหนูแบบว่าดูถูก เพราะว่าเสื้อผ้า รองเท้าเราไม่ได้ใส่ของแพง เพราะเราเป็นคนที่ใส่เสื้อผ้าแล้วมันสกปรกเร็ว ก็เลยไม่ใส่ของแพง ใส่ของธรรมดา 1,000-2,000 คนก็มาเห็น มามองหัวจรดเท้า เป็นคนในวงการนี่แหละค่ะ แต่ไม่ใช่ดารานะคะ แต่ก็ไม่เสียใจค่ะ ถ้าเป็นตัวหนูเล็กเองแบบบ้าน ๆ นะคะ หนูเข้าไปต่อยปากค่ะ
ชีวิตหลังแต่งงานเป็นยังไงบ้าง เค้าบอกว่าจะเลิกกัน ?
หนูเล็ก : ไม่จริงค่ะ แค่เราทะเลาะกันบ่อยเท่านั้นเอง เรื่องเล็กน้อยหยุมหยิม อย่างเวลาไปทำงานหนูมีความสุขมากนะคะ แต่พอกลับมาเริ่มละ ยิ่งช่วงไหนหยุด 2 วัน หนูเบื่อมากเลย เพราะจะทะเลาะกันตลอด เค้าติดเรามากเกินไปค่ะ คือเวลาหนูไปทำงานเราจะไม่ค่อยได้เจอกันใช่มั้ย พอหนูกลับบ้านมา เค้าจะเดินตามตลอด ตามทุกที่ที่อยู่ในบ้าน เค้าบอกว่าไม่ค่อยได้เจอกันไง
แต่เค้าเข้ามาเปลี่ยนชีวิตเราไม่ใช่เหรอ ?
หนูเล็ก : ใช่ค่ะ เค้าเข้ามาเปลี่ยนแปลงชีวิตในทุกเรื่องเลยค่ะ อย่างเราอารมณ์ร้อน ขี้โมโห เค้าจะมาสอนมาเปลี่ยนแปลงเรา เหมือนเป็นพ่อกับแม่อีกคนเลยค่ะ
ติดตามรายการ คุยแซ่บShow ได้ทุกวันจันทร์-ศุกร์ เวลา 14.00-15.00 น. ทางช่อง one31 Facebook Page : คุยแซ่บShow รับชมย้อนหลังได้ที่ Youtube Channel : Orange Mama
คลิปสัมภาษณ์ เปิดใจ "หนูเล็ก ก่อนบ่าย" โต้ พึ่งมีดหมอทำสวย เหมือนซุปตาร์
![หนูเล็ก ก่อนบ่าย หนูเล็ก ก่อนบ่าย]()
![หนูเล็ก ก่อนบ่าย หนูเล็ก ก่อนบ่าย]()
![หนูเล็ก ก่อนบ่าย หนูเล็ก ก่อนบ่าย]()
.jpg)
.jpg)
.jpg)





